AGENESIA DENTAL
O QUE É A AGENESIA DENTAL?
Agenesia é o termo que se usa quando o paciente nasce sem o dente permanente. Por algum motivo, provavelmente genético, ele nao desenvolve o dente dentro do osso.

agenesia dos incisivos laterais superiores
QUAIS AS IMPLICAÇÕES DISTO?
Os dentes permanentes nascem para substituir os dentes de leite (com exceção dos molares permanentes que não sucedem nenhum). Como na agenesia o paciente não forma o dente permanente, o dente de leite muitas vezes não amolece e não cai.
Portanto muitos pacientes têm o que chamamos de retenção prolongada de dentes de leite. Esse dente pode permanecer na boca ate a 3a. idade em alguns casos.
Quando um dente permanente nasce, ele vai “comendo” a raiz do dente de leite. Então, pelo fato de não possuir o dente permanente adjacente ao de leite, a raiz do dente de leite nunca vai ser “comida”, portanto, ele permanece em posição.
ISSO OCORRE EM TODOS OS DENTES?
Normalmente não. Os dentes mais acometidos pela agenesia são os sisos (3os molares). Muitos dos pacientes hoje em dia nascem sem os sisos, e isso pode ser considerado uma agenesia “boa”.
Porém a segunda maior prevalência de agenesia dentária são com os incisivos laterais superiores, seguidos pelos segundos prés molares. Os outros dentes a prevalência é tao baixa, que são muito raros.
AGENESIA DE INCISIVO LATERAL SUPERIOR
Com certeza a que mais incomoda os pacientes. Essa agenesia pode acontecer com os dois incisivos laterais, com um só apenas, ou podem ocorrer a formação de incisivos laterais conóides (em forma de cone). Normalmente essa alteração de forma e a agenesia estão intimamente relacionadas.

agenesia bilateral de incisivos laterais

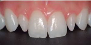
Incisivo Lateral conóide bilateral
Pode acontecer de um incisivo lateral ser acometido pela agenesia e o outro ser normal ou conóide; os 2 serem conóides; ou ocorrer a agenesia de ambos.
QUAIS IMPLICAÇÕES TÊM A AGENESIA DO INCISIVO LATERAL SUPERIOR?
Normalmente pode-se ter a retenção prolongada de um dente de leite na região do sorriso, ou a permanência de espaços indesejados na área frontal. Outro fator ruim é o desvio da linha media do sorriso (especialmente em casos unilatetais).
Em alguns casos os caninos nascem mais pra frente do que o normal, dando um aspecto de sorriso de vampiro.
Portanto a questão estética do sorriso é bem prejudicada. Sem falar no encaixe dos dentes que também fica desajustado, podendo acarretar problemas de articulação.
Muitos pacientes as vezes nem sabem que têm agenesia. Que normalmente com uma consulta ao dentista e um rx bucal é facilmente diagnosticada.
TÊM COMO TRATAR?
Sim. Com aparelho ortodôntico é possível reparar a falta do dente.
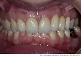
Dependendo do caso podemos abrir espaço com aparelho, para colocação de implantes.

reposição dos dentes com implante
Outros casos podemos fechar os espaços com os próprios dentes do paciente. Neste caso o canino do paciente é trazido para o lugar do incisivo lateral, tento sua forma alterada para se parecer com esse.

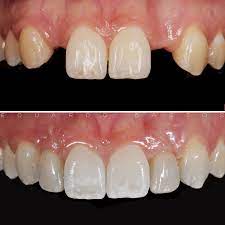
transformação anatômica do canino em incisivo lateral
Já em dentes conóides, na maioria das vezes temos que recuperar a anatomia do dente. Ou seja, temos que restaurar sua forma original.
