ATTACHMENTS
O QUE SÃO OS ATTACHMENTS?
Na tradução livre do inglês quer dizer anexo. Ou seja, algo anexado, junto, extra.
Attachments são pequenas porções de resina composta (a mesma usada para restaurações dentárias) coladas aos dentes. Essas porções de resina é que vão facilitar a movimentação dentária nos tratamentos com alinhadores ortodônticos.
COMO SÃO FEITOS OS ATTACHMENTS?
Eles são planejados virtualmente. O software, através de um logarítimo, irá planejar onde será necessário colá-los. Cabe ao ortodontista revisar e muitas vezes alterar a posição, quantidade e muitas vezes o tipo de attachment. Tudo vai depender do tipo de movimentação que se deseja realizar.
Após todo o planejamento concluído, o tratamento é aprovado. Existe um Template específico para os attachments. Ou seja, antes de o paciente iniciar a usar os alinhadores, o ortodontista deve inserir o Template e fazer a colagem dos mesmos.
O dente é previamente lavado para que não haja nenhum resquício de placa bacteriana ou saliva em sua superfície. As porções de resina são inseridas no template e então é feita a polimerização (endurecimento) dessas resinas em boca. Para isso que serve aquela luz azul que os dentistas utilizam.

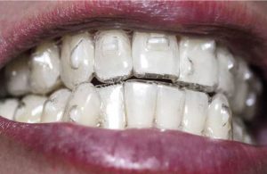
attachments colados ao dente
Após a colagem dos attachments o dentista deve se certificar da estabilidade deles. Revisar todos é tarefa fundamental. Outro fator importantíssimo é eliminar as rebarbas ou excessos que ficam ao redor. Utilizam-se brocas especiais bem como lixas específicas para tal.
PRA QUEM ELES SERVEM?
Os attachments servem para permitir e/ou facilitar o movimento dentário. Os alinhadores funcionam “empurrando” os dentes por meio de pressão do alinhador. Então essas porções de resina servem como um aumento da área de contato. Outra função é aumentar a força de alavanca, para facilitar e promover todo e qualquer tipo de movimento dentário.

alinhador em posição
Existem attachments ativos ou passivos. Os ativos tem uma função ativa: ajudar a movimentação dentária. Os passivos simplesmente servem como apoio para permitir a movimentação do dente vizinho. Ou simplesmente para retenção do alinhador.
OS ATTACHMENTS INCOMODAM?
No início o paciente pode estranhar um pouco o aumento de volume. Porém como são bem pequenos e arredondados, esse desconforto logo passa. Nem se compara a um aparelho ortodôntico com brackets colados.
Portanto o incômodo inicial dos attachments é somente até o paciente acostumar (2 a 3 dias).
POR QUANTO TEMPO ELES PERMANECEM?
Os attachments ficam fixos, colados ao dente até o final do tratamento. Eles podem ser trocados de lugar ou removidos se assim o ortodontista o quiser e planejar nos alinhadores adicionais.
Quando se encerra o tratamento ativo, eles são removidos com brocas e lixas especiais, deixando o esmalte dentário liso e brilhante.
Portanto vemos que os alinhadores não são mágicos. Necessitamos sim colar alguma coisa no dente para permitir e facilitar (até acelerar) os movimentos dentários. Mas convenhamos, muito melhor os attachments do que brackets, certo?
