Contenção inferior, qual escolher?
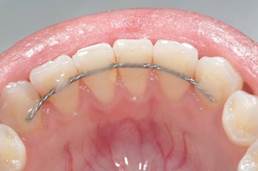
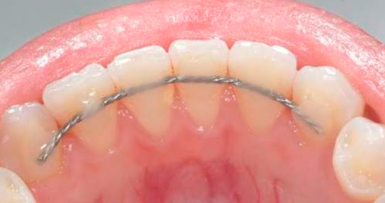
A grande diferença entre as duas é que a contenção inferior fixa HIGIÊNICA permite o uso do fio dental normalmente. Já a contenção fixa RETA necessita o uso de um fio dental especial e uma manobra diferente para usá-lo. Estudos demonstram que por ser maior e mais volumosa, a contenção HIGIÊNICA acaba aderindo mais tártaro do que a contenção fixa RETA.

contenção fixa higiênica contenção fixa reta
Mas então, se uma permite o uso do fio-dental, mas acumula mais tártaro, qual devo usar?
Depende. Se o paciente não tem o costume de usar o fio dental, o ideal mesmo é utilizar a contenção fixa RETA. A utilização da contenção inferior fixa HIGIÊNICA resultaria em um maior acúmulo de tártaro e placa. Agora, se o paciente é extremamente cuidadoso com a higiene oral, a contenção ortodôntica HIGIÊNICA se torna mais vantajosa.
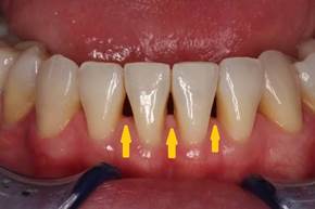
A longo prazo, se não houver o cuidado devido – limpeza de forma correta e visitas regulares ao dentista – os dois tipos de contenção podem apresentar um grave problema: Devido ao acúmulo de tártaro e inflamação crônica da gengiva na região, pode ocorrer a perda da PAPILA GENGIVAL (gengiva que fica entre os dentes).
Isso pode trazer consequências bem desagradáveis como o surgimento de TRIÂNGULOS NEGROS. (pequenos espaços entre os dentes, onde antes era preenchido por gengiva).

Presença de triângulos negros pela recessão da gengiva
Porém nota-se que a contenção fixa RETA, por não permitir o uso do fio dental normalmente, acaba por apresentar um maior índice de formação desses TRIÂNGULOS NEGROS. Cientificamente, a contenção fixa HIGIÊNICA apresentar a formação de mais tártaro. Contudo essa deposição se dá mais entre a contenção e o dente e não entre os dentes como na contenção ortodôntica RETA.

acúmulo de tártaro na contenção
Portanto cada um dos tipos tem seus prós e contras. Tudo vai depender do cuidado do paciente com a escovação e o uso do fio dental na região. Visitas para limpeza dentária regulares no dentista também são importantes.
Particularmente, por muitos anos usei a contenção inferior fixa RETA. Com o tempo tenho visto um prognóstico pior em relação à gengiva. Como a contenção fixa HIGIÊNICA acaba facilitando (leia-se incentivando) o paciente a usar o fio dental, ultimamente tenho indicado a contenção HIGIÊNICA na maioria dos casos.
Aqui na Hera Odontologia, seu Dentista no Bairro Higienópolis conseguiremos te indicar qual a sua melhor opção para contenções.
