MEU DENTE ESCURECEU, E AGORA?
Muitos são os fatores que podem estar ligados ao escurecimento do dente.
DENTE COM TRATAMENTO DE CANAL:
Um dente que já passou pelo procedimento de tratamento de canal pode em algum momento vir a escurecer. Esse escurecimento geralmente é causado pela existência de sangue ou outras substâncias que não foram removidas após a conclusão do tratamento de canal.
DENTE SEM TRATAMENTO DE CANAL:
Quando se trata de um dente “saudável” no qual não foi feito procedimento algum, temos algumas causas envolvidas:
- Trauma (acidente ou queda, por ex);
- Reabsorção interna;
- Reabsorção externa;
- Problemas periodontais.
Quando se trata de algum trauma, nem sempre no momento do trauma o dente mostra algum problema como quebras ou o próprio escurecimento. Logo, esse escurecimento pode ir aparecendo com o tempo.
Reabsorção interna e externa está muito ligado ao organismo do paciente. Não se sabe ao certo o que origina o aparecimento dessas reabsorções.
Outro motivo são problemas periodontais. Problemas periodontais são causados por bactérias que atingem os tecidos que recobrem a coroa dentária, fazendo com que ocorra uma certa mobilidade. Se o paciente tem algum problema periodontal (mobilidade dentária) não tratada, essa infecção pode atingir o topo da raiz do dente fazendo com que a polpa do dente seja infectada.
Em todos esses casos, há a morte do nervo (polpa), tendo como consequência esse escurecimento da coroa dentária.
COMO TRATAR?
- Dentes com tratamento de canal:
O primeiro passo é analisar se o canal está bom, através de uma radiografia. Se estiver tudo certo, pode-se remover o que ficou de material na região da coroa do dente para após, ser realizado o procedimento de escolha para eliminar o escurecimento.
- Dentes sem tratamento de canal:
Deve ser feita uma anamnese bem detalhada para ver o motivo do escurecimento (se causado por trauma, reabsorções os problemas periodontais). Radiografia periapical é imprescindível. Após, na imensa maioria das vezes, o tratamento de canal é o primeiro passo para remover todo e qualquer tecido necrótico que possa estar ali dentro. Seguido disso, será feita a escolha do procedimento que será realizado para melhorar o aspecto escurecido. O motivo do escurecimento do dente nesses casos é muito importante.
*Em raros casos, um dente que passou por história de trauma e está sem lesão e com obliterações dos canais, não é necessário o tratamento de canal.
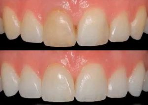
QUAIS OS PROCEDIMENTOS QUE POSSO REALIZAR APÓS O TRATAMENTO DE CANAL?
Clareamento interno:
Nos casos de dentes hígidos (sem quebras), podemos abrir mão de um clareamento interno, sendo o tratamento mais conservador, pois utilizamos como entrada do gel clareador, o acesso por onde foi feito o tratamento de canal. Após chegar a cor desejada do dente, esse dente é selado com resina. Porém, esse tratamento não é indicado para casos de reabsorções internas e externas.

clareamento interno de dente escurecido
Laminados cerâmicos:
Laminados cerâmicos são uma ótima opção para quem não pode fazer o clareamento interno. Outra indicação é quando se tem o dente quebrado (ou até mesmo se já que aproveitar e corrigir um formato indesejado). Os laminados cerâmicos são peças de porcelana feitas em laboratório que vão cobrir o dente escurecido. Para isso, é necessário fazer algum desgaste para que esse substrato escuro possa ser escondido. A cerâmica tem como vantagem a alta resistência contra quebras e a não necessidade de polimento, pois ela não perde o brilho. Ela tem um altíssimo grau de estética e poder de mimetizar os dentes vizinhos. Para realizar esse procedimento, precisam ser feitas duas sessões.
Facetas de resina:
Os motivos da realização das facetas de resina são os mesmos dos laminados cerâmicos. Ela é de primeira escolha quando o paciente não quer investir em porcelana. Isso porqueois as facetas de resina têm o valor mais acessível comparadas aos laminados cerâmicos. Porém, ela tem algumas desvantagens comparadas aos laminados. Um dente com substrato escurecido é um grande desafio para a resina (principalmente em escurecimento severo). Isso se deve ao fato que nem sempre a cor fica igual ao dente vizinho, além de necessitar de constantes consultas de polimento. Sua durabilidade é inferior à cerâmica. Os dois procedimentos necessitam de desgaste do dente. Outra diferença é que a faceta de resina pode ser realizada em uma única sessão.
