O QUE É A MORDIDA ABERTA?
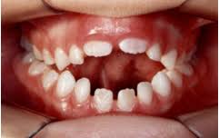
Mordida aberta é quando os dentes não se encostam entre si. Quando cerramos os dentes e entre eles ainda fica um espaço. Normalmente acontece na região anterior. Porém pode também ocorrer nas regiões posteriores da arcada dentária.

adulto jovem

criança
QUAL A CAUSA?
Normalmente a causa se dá por algum hábito de sucção e/ou a interposição de algum objeto por muito tempo. Como exemplo bico, chupeta, dedo… por isso é mais comum em crianças. A gravidade da mordida se dá pela intensidade, pelo tempo e pela frequência do objeto interposto entre os dentes.

chupeta e dedo: causas
Porém se não tratada pode permanecer na fase adulta, mesmo com a remoção do hábito deletério. Isso porque, depois de instalada, o espaço criado pela mordida aberta serve como descanso da língua. Esse repouso da língua acaba perpetuando a mordida aberta, impedindo que ela se feche naturalmente.

interposição de lingua
QUAIS SÃO AS CONSEQUÊNCIAS DA MORDIDA SE NÃO TRATADA?
Como os dentes não fecham corretamente, a língua também não se portará adequadamente. A imensa maioria das vezes ocorre a interposição lingual ao engolirmos (o que pode agravar e perpetuar a mordida). Outra consequência são problemas na fala e na pronúncia de algumas palavras. Sons com “s” são os mais prejudicados.
Como normalmente a mordida aberta ocorre na infância, todo o desenvolvimento da face é comprometido, podendo gerar problemas na respiração, fala, posição de língua, estética facial e piorar a má oclusão dentária.
EXISTE TRATAMENTO PARA A MORDIDA ABERTA?
Sim. A imensa maioria dos tratamentos é simples. Remover o hábito de sucção imediatamente seria o primeiro passo. Quando isso é feito cedo da infância a mordida muitas vezes se auto corrige.
Num paciente adulto, com um aparelho ortodôntico facilmente se consegue o fechamento da mordida.
Nas crianças caso a língua esteja em interposição, muitas vezes é necessário o uso de um aparelho ortodôntico com grade para reposicioná-la.

Aparelho com grade lingual
Alguns casos é necessário o acompanhamento de um fonoaudiólogo para readequação da posição lingual. Raros casos necessitam de cirurgia para correção.
