PRÓTESE METALOCERÂMICA x PRÓTESE METALFREE
Uma das dúvidas mais comum entre os pacientes que necessitam de próteses fixas sobre dentes é: Qual tipo de prótese devo optar? Metalfree ou Metalocerâmica?
Dentre os tratamentos para reabilitações orais fixas, temos a prótese metalocerâmica e as próteses metalfree.
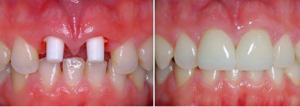
A principal diferença entre elas é a estrutura interna que envolve o dente (chamado de casquete) e que depois é recoberta por uma camada de porcelana. Nas próteses metalocerâmicas, possuímos uma estrutura interna feita de metal. Já nas próteses livres de metal ou metalfree, essa estrutura é mais semelhante a cor do dente, ou seja, clara.
Isso representa alguma diferença no resultado final?
A resposta para esse questionamento é sim, representa. Com os casquetes mais claros, a transmissão da luz nos nossos dentes se torna mais natural, o que aproxima mais da realidade e torna as próteses mais estéticas.
Além disso, podemos reparar em muitos os casos, que com o passar dos anos de utilização e com as alterações que podem ocorrer na nossa boca, como retrações gengivais, por exemplo, essas próteses livres de metal não oxidam, o que faz com que não apareça aquele tom escuro acinzentado no contorno da gengiva e do dente.


Prótese Metalocerâmica Halo acinzentado na gengiva

protése de cerâmica metalfree
Prótese Metalfree
Porém, devemos frisar, que apesar de as coroas metalfree serem mais estéticas, não quer dizer que não podemos obter resultados de excelência e com boa durabilidade nas próteses metalocerâmicas.
Ambos os tipos de trabalho tem resultados estéticos ótimos, porém cada um tem as suas indicações mais precisas. Por isso, aqui na Hera Odontologia, na Zona Norte de Porto Alegre, você encontra dentistas especializados e atualizados nos mais diversos tipos de reabilitações orais disponíveis na Odontologia.
Para tirar suas dúvidas e entender melhor qual é a melhor indicação para as reabilitações orais, entre em contato conosco para diagnosticarmos o melhor tratamento para você.
