TRAUMATISMO DENTAL, E AGORA?
Os traumatismos dentais são eventos que geralmente ocorrem com crianças e praticantes de esportes. Existem vários tipos de traumas dentários que podem acontecer.
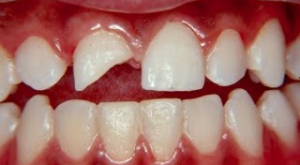
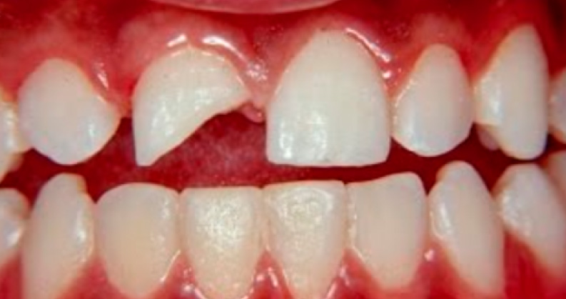
Desde uma simples trinca, fratura ou até a completa avulsão (saída completa) do dente.
É importante ressaltar que mesmo que pareça que o dano causado tenha sido mínimo, a visita ao seu dentista é fundamental. Ele irá avaliar através de exames complementares como raio-x, se não houve nenhum comprometimento dos tecidos adjacentes, bem como da raiz dentária.
O QUE FAZER EM CASO DE TRAUMA DENTAL?
Nos casos de avulsão deve-se agilizar o procedimento de recolocação do dente avulsionado na boca. Para isso deve-se inserir o dente novamente no alvéolo – “buraco” deixado pelo dente na gengiva).
Cada hora que passa piora o prognóstico e as chances de sucesso.
Nesses casos deve-se lavar bem o dente com soro fisiológico, leite ou até mesmo água limpa. Após isso colocar o dente de volta no lugar ou deixar ele dentro da boca, entre a bochecha e a gengiva, em contato com a saliva, até a busca pelo profissional competente.



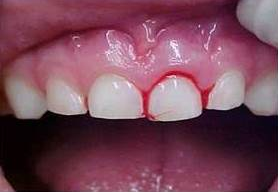
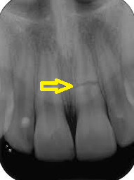
Trauma de concussão Fratura de parte da coroa dentária Frantura da raíz no Raio-x
Outra alternativa é manter em soro fisiológico ou leite e procurar imediatamente seu dentista. Se for apenas uma fratura, fazer o mesmo, pois o fragmento de dente poderá ser colado pelo dentista.
Exames radiográficos podem ser necessários e alguma contenção temporária até o dente firmar novamente. Dependendo muito da extensão da batida e da mobilidade dentária presente após a batida.
Após todo o atendimento, o paciente deverá ser monitorado por um endodontista. Esse irá avaliar se houve dano ao tecido pulpar (nervo do dente) ou se existe algum risco de reabsorção da raiz do dente afetado. Serão realizados raio-x periódicos para acompanhar a evolução de cada caso.
O prognóstico irá depender do tipo de trauma causado e do correto manejamento do tratamento no momento do ocorrido e no pós-trauma.
Para os esportistas, em que a incidência de traumatismos dentais é maior, recomenda-se uso de placas protetoras. Elas tem a finalidade de diminuir o risco de danos aos dentes e tecidos adjacentes.
