CIRURGIA PLÁSTICA GENGIVAL
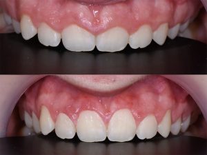
A cirurgia plástica gengival proporciona uma harmonia completa ao sorriso, devolvendo boa relação de proporção e tamanho do conjunto dente/gengiva. O papel da gengiva, ou “estética vermelha”, é de fundamental importância para a beleza do sorriso.
Não adianta nada os dentes estarem alinhados, retinhos, se a gengiva não seguir um padrão. Caso isso aconteça, os dentes vão parecer tortos e a estética fica muito comprometida. Isso pode ocorrer em todos os dentes (excesso de gengiva causando sorriso gengival), ou apenas em alguns dentes.

antex x depois do corte da gengiva
Como a cirurgia plástica da gengiva auxilia no Sorriso Gengival?
A plastia gengival nada mais é do que o corte do excesso da gengiva que esconde o restante do dente. Tem como resultado uma maior exposição da superfície do dente. Essa plastia pode ser necessária em todos os dentes ou apenas em um conjunto específico de dentes. Tudo isso de acordo com a necessidade do paciente.
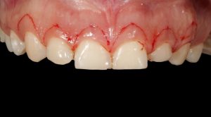
Como é feito o corte para a cirurgia?
É um procedimento delicado, porém sem muitas intercorrências, e de fácil assimilação pelo paciente. É realizada anestesia local e através de bisturi corta-se o excesso da gengiva. Muitas vezes nem pontos necessita. Esse procedimento normalmente se realiza a cirurgia gengival quando o problema é estritamente da gengiva, com todas outras estruturas do periodonto normais.

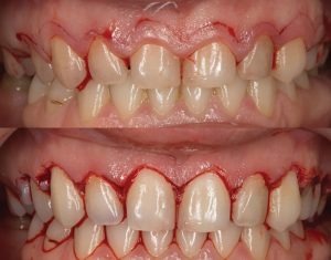
demarcações da altura do corte gengival

demarcações da altura da cirurgia gengival
Em alguns casos, onde se envolve um volume ósseo em excesso também, o procedimento é um pouco mais complexo. Necessita-se, além da remoção da gengiva, a remoção e recontorno ósseo. Isso é necessário para dar estabilidade à nova posição da gengiva.
Como é a recuperação da plastia gengival?
Normalmente é um procedimento indolor, sob anestesia. Demanda apenas o uso de analgésicos leves por alguns dias e cuidados na higiene do local. Usualmente se indica um bochecho específico para auxiliar a assepsia do local. Não necessita de repouso nem maiores cuidados.
Quando envolver remoção de osso, o pós operatório é um pouco mais delicado. Necessitando de remédios um pouco mais fortes. Recomenda-se tambem um repouso do paciente por 1 ou 2 dias. Isso vai variar muito de caso para caso. Quanto menor a necessidade de se remover osso, melhor é a recuperação.
A plástica gengival é muito utilizada após casos de ortodonti. Nesses casos, onde precisamos “alinhar” a gengiva também após posicionarmos dentes que estavam muito fora de lugar.
