Blog
Aparelho estético de cerâmica e de safira
Aparelho de cerâmica x Aparelho de safira Pacientes adultos já são praticamente metade ou mais da metade no nosso dia-a-dia. Já se foi aquele pensamento que “adulto...
Bruxismo e Aparelho Ortodôntico
QUAL A RELAÇÃO ENTRE BRUXISMO e APARELHO ORTODÔNTICO? Muitos pacientes perguntam se o aparelho ortodôntico trata o bruxismo. Na verdade a resposta é não. O tratamento...
Odontologia e Diabetes
Odontologia e Diabetes Qual a relação da odontologia e diabetes? O diabetes mellitus (DM) é uma desordem metabólica muito comum e sua incidência vem aumentando...
Lente de contato dental
O QUE É A LENTE DE CONTATO DENTAL? Lentes de contato dentais nada mais são do que facetas cerâmicas extremamente finas. Realizadas com cerâmicas injetadas que...
Perda de dentes
CONSEQUÊNCIAS DA PERDA DE DENTES: -Por que as pessoas perdem muito principalmente o 1º molar inferior? O número de pessoas com idade a cima dos 40 anos...
Aparelho Hyrax
APARELHO HYRAX APARELHO DE EXPANSÃO RÁPIDA DA MAXILA Também conhecido como Disjuntor Maxilar é amplamente usado em casos onde temos uma atresia do osso maxilar...
Clareamento dental: qual o melhor?
CLAREAMENTO DENTAL DE CONSULTÓRIO (LASER) X CLAREAMENTO CASEIRO Normalmente se utilizam duas modalidades de clareamento: clareamento de consultório (Laser) e o...
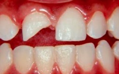
Traumatismos dentais
TRAUMATISMO DENTAL, E AGORA? Os traumatismos dentais são eventos que geralmente ocorrem com crianças e praticantes de esportes. Existem vários tipos de traumas...
Prótese metalocerâmica x metalfree
PRÓTESE METALOCERÂMICA x PRÓTESE METALFREE Uma das dúvidas mais comum entre os pacientes que necessitam de próteses fixas sobre dentes é: Qual tipo de prótese devo...
Enxaguante bucal: mocinho ou vilão?
SEMPRE VEJO ENXAGUANTES NA TV! Vemos muitas propagandas de diversos enxaguantes bucais que prometem acabar com a gengivite e com as bactérias orais,...
Tratamento de Canal: sessão única ou múltiplas sessões?
Tratamento de canal em sessão única ou múltipla? O verdadeiro objetivo do tratamento de canal é a realização do preparo dos canais visando a limpeza completa e...
Implantes curtos
IMPLANTES CURTOS: APENAS 4mm! Os implantes dentários são parafusos odontológicos feitas de titânio e que servem para repor dentes perdidos. Os implantes são instalados...
Buscando Dentista na Zona Norte em Porto Alegre? Entre em Contato Conosco!
contato@heraodontologia.poa.br
Telefone
(51) 3273-1753
Localização
Praça Alberto Ramos 812, sala 405 Bairro HIgienópolis - Porto Alegre / RS
Siga-nos
Buscando Dentista Higienópolis, Dentista Zona Norte, Dentista Zona Norte Porto Alegre, Invisalign Zona Norte Porto Alegre, Dentista em POA? A Hera Odontologia tem Dentista em Porto Alegre especializados em: Implantes, Próteses, Ortodontia, Odontopediatria, Restaurações, Endodontia e Periodontia.












