Blog
Interposição de Língua
INTERPOSIÇÃO DE LÍNGUA A interposição de língua ou interposição lingual pode ser muito danosa para os pacientes. A interposição lingual caracteriza-se por uma má...
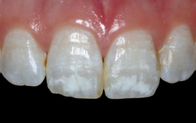
Manchas nos dentes
MANCHAS NOS DENTES As manchas nos dentes (especialmente nos dentes da frente) são muito comuns nos pacientes. Fator esse que incomoda demais ao sorrir. Essas...
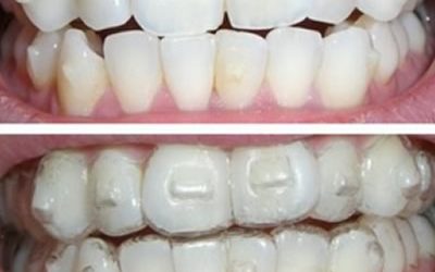
Preciso Trocar Minhas Restaurações Antigas?
PRECISO TROCAR MINHAS RESTAURAÇÕES ANTIGAS? Muita gente nos questiona se é necessário trocar as restaurações antigas. A resposta é que normalmente depende do...
Perda Precoce de Dentes de Leite
PERDA PRECOCE DE DENTES DE LEITE Você sabia que a perda precoce de dentes de leite pode trazer problemas quase irreparáveis para o seu filho? Os dentes de leite...
Implante Dentário
IMPLANTE DENTÁRIO O que é o implante dentário? O implante dentário é um pino de titânio que é utilizado para substituir a raiz do dente. Esse procedimento é feito...
Meu dente escureceu!?
MEU DENTE ESCURECEU, E AGORA? Muitos são os fatores que podem estar ligados ao escurecimento do dente. DENTE COM TRATAMENTO DE CANAL: Um dente que já passou pelo...
Attachments
ATTACHMENTS O QUE SÃO OS ATTACHMENTS? Na tradução livre do inglês quer dizer anexo. Ou seja, algo anexado, junto, extra. Attachments são pequenas porções de...
Chiclete sem açúcar previne cáries?
CHICLETE SEM AÇÚCAR PREVINE CÁRIE? A resposta é sim! Chiclete sem açúcar previne o surgimento da cárie. Para entender como isso ocorre temos que entender como a...
Sensibilidade Dentária
SENSIBILIDADE DENTÁRIA Muitos pacientes sofrem com a sensibilidade dentária. Ela é caracterizada quando o paciente sente sensibilidade excessiva quando consome...
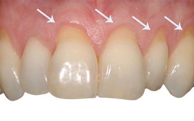
Retração Gengival
RETRAÇÃO GENGIVAL A retração gengival caracteriza-se pelo encolhimento da gengival e consequentemente exposição da raiz dentária. Ela pode ocorrer isoladamente em um ou...
5 Dicas Para Aliviar a Dor Após a Manutenção Ortodôntica
5 DICAS PARA ALIVIAR A DOR APÓS A MANUTENÇÃO ORTODÔNTICA Todos sabemos que quando apertamos o aparelho, vem aquela dor chatinha. É uma dor contornável, nada muito...
Dicas Pós Cirurgia de Siso
DICAS PÓS CIRURGIA DE SISO Então você acabou de fazer a cirurgia de siso e agora vem uma parte muito importante: o pós operatório. No pós operatório o paciente precisa...
Buscando Dentista na Zona Norte em Porto Alegre? Entre em Contato Conosco!
contato@heraodontologia.poa.br
Telefone
(51) 3273-1753
Localização
Praça Alberto Ramos 812, sala 405 Bairro HIgienópolis - Porto Alegre / RS
Siga-nos
Buscando Dentista Higienópolis, Dentista Zona Norte, Dentista Zona Norte Porto Alegre, Invisalign Zona Norte Porto Alegre, Dentista em POA? A Hera Odontologia tem Dentista em Porto Alegre especializados em: Implantes, Próteses, Ortodontia, Odontopediatria, Restaurações, Endodontia e Periodontia.












